Invisalign in Los Angeles, CA
The Clear Path to a Confident Smile
Platinum Invisalign Provider
Flexible financing & in-house savings plan
Advanced tech for faster treatment
Boutique care tailored to you

The Clear Choice for Invisalign Treatment
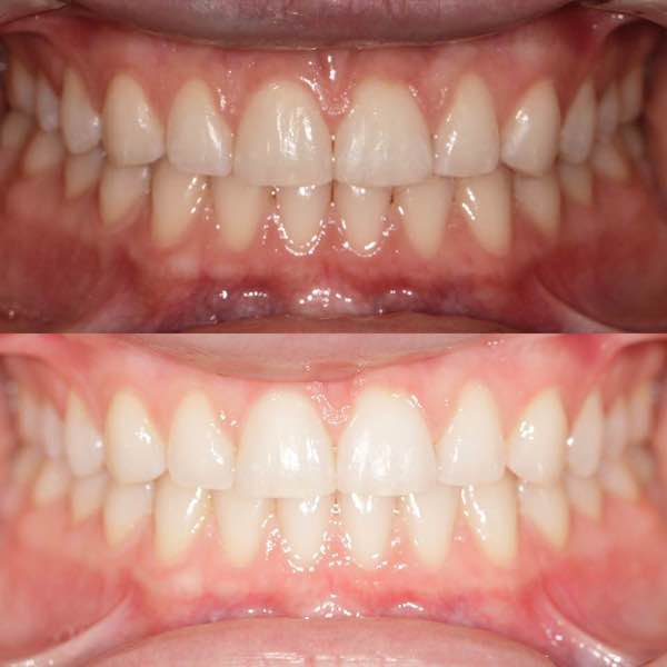
Choosing Invisalign isn’t just about straightening your teeth; it’s about who you trust to guide your smile transformation. As a Platinum Invisalign® Provider, Dr. Min Hee Oh combines advanced orthodontic training with her cosmetic artistry to deliver results that look natural and feel completely personalized.
Platinum Invisalign Provider:
Recognized for advanced expertise and consistently exceptional outcomes.
Technology That Enhances Precision:
iTero® digital scanning makes prep comfortable while VPro5+ accelerates treatment.
Cosmetic Mastery:
Dr. Oh’s K-beauty aesthetic ensures your smile looks balanced, radiant, and uniquely you.
Personalized Experience:
Enjoy a boutique environment with cosmetic dentistry care tailored to your lifestyle and goals by our dentist in Los Angeles, CA.
Start Your Invisalign Journey Today
A straighter smile is closer than you think. With Dr. Oh’s Platinum Invisalign Provider status and advanced technology, you can achieve results that are comfortable, discreet, and customized. Unlike traditional braces, Invisalign aligners fit seamlessly into your daily routine, giving you the confidence to smile through every stage of treatment.
Whether you are ready to begin or simply exploring your options, our team is here to guide you with personalized care and clear answers to all your questions. Schedule your consultation today and see why patients across Los Angeles trust Dr. Oh for their Invisalign treatment.
What Makes Invisalign Different
Invisalign has become one of the most popular orthodontic treatments for a reason. Our Los Angeles patients choose it not only for its cosmetic appeal but also for the comfort and convenience it provides compared to traditional braces.
Discreet Appearance: The clear aligners are nearly invisible, making it easy to straighten your teeth without drawing attention. Most people will not even notice you are wearing them.
Removable Convenience: Unlike braces, Invisalign clear aligners can be taken out when you eat, drink, or brush your teeth. This flexibility allows you to enjoy your favorite foods and maintain excellent oral hygiene throughout treatment.
Greater Comfort: With smooth plastic instead of metal brackets and wires, Invisalign aligners are designed to be more comfortable. You avoid the irritation and soreness that often come with braces.
Fewer Office Visits: Because aligners are provided in advance, you will need fewer in-office adjustments. This makes Invisalign especially convenient for busy professionals and students.
Predictable Results: Advanced digital imaging lets Dr. Oh map out your treatment from start to finish. You can preview your expected outcome and feel confident about your progress at every stage.
Flexible Invisalign Financing
Investing in your smile should feel exciting, not stressful. That’s why our Los Angeles dental office offers flexible financing options to make Invisalign treatment and other types of cosmetic dentistry accessible for every patient. While we do not bill insurance directly, our team will provide coded statements you can submit to your provider for possible reimbursement.
For added convenience, we also offer an in-house membership plan with savings on both cosmetic and general dentistry treatments. In addition, we partner with CareCredit® and LendingPoint to provide monthly payment plans that fit comfortably into your budget. With these options, achieving the smile you’ve always wanted has never been easier.
What Invisalign Can Correct
Invisalign aligners are designed to treat a wide range of orthodontic concerns, helping patients achieve straighter, healthier smiles without traditional braces. Dr. Oh uses advanced scanning and planning technology to customize treatment for predictable, natural-looking results. Conditions Invisalign can correct include:
- Crowded teeth
- Gaps and spacing issues
- Overbites
- Underbites
- Crossbites
- Mild to moderate alignment concerns
By targeting these common issues, Invisalign not only improves appearance but also supports long-term oral health by making teeth easier to clean and maintain.

Starting Invisalign is a smooth process, and knowing what to expect makes it even easier. Your journey begins at our Los Angeles office with a digital scan using the iTero system, which allows Dr. Oh to design a precise treatment plan and show you a preview of your future smile.

Once your aligners are ready, you will receive a series of custom trays that gradually shift your teeth into alignment. Each set is worn for about one to two weeks before moving on to the next. To achieve the best results, aligners should be worn 20–22 hours per day, only removed for eating, drinking, and daily oral hygiene.

Throughout treatment, you will visit Dr. Oh for check-ins to monitor progress and ensure everything is on track. Most patients see steady improvements in just a few months, with full results typically achieved in 12 to 18 months, depending on the complexity of the case.
How to Care for Your Clear Aligners
Proper care of your aligners is key to keeping your treatment on track and your smile healthy. With a few simple habits, you can protect your trays and ensure they stay clear and comfortable.
Clean Daily: Rinse your aligners every time you remove them, and brush them gently with a soft toothbrush and clear, unscented soap. Avoid toothpaste, which can scratch the surface and cause cloudiness.
Store Safely: Always keep aligners in their protective case when not in use. Leaving them out increases the risk of damage or loss, which can delay treatment.
Avoid Heat: Hot water and high temperatures can warp aligners. Stick to lukewarm water when cleaning, and keep trays away from direct heat sources.
Practice Good Oral Hygiene: Brush and floss before reinserting aligners to prevent bacteria and staining. Clean teeth ensure your trays stay fresh and your smile stays healthy.
By following these simple steps, patients can keep their Invisalign aligners clear, comfortable, and effective throughout treatment.
Maintaining Your Results
Finishing Invisalign treatment is an exciting milestone, but keeping your new smile in place requires ongoing care. After treatment, most patients will wear a custom retainer to prevent their teeth from shifting back to their original position.
Dr. Oh will design a retainer schedule that fits your needs, often starting with daily wear and gradually transitioning to nights only. With consistent use, you can maintain your new smile for years to come.
Where Patients Come First
“I have the highest praise for Dr. Oh and the entire Avenue Dental team. Although going to the dentist is not high on my list of leisure activities, it is actually quite pleasant here and without a doubt, some of the best care in LA.”
-Joe, 5-Star Review


